Fale Comigo
Whatsapp

Imagens

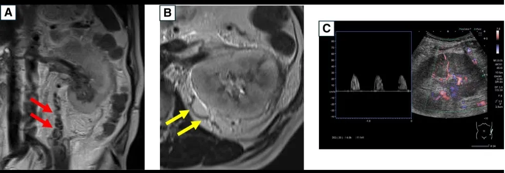
Hematúria e Lesão Renal Aguda em Paciente com Câncer Renal: Quando Pensar em Trombose da Veia Renal?

Valkercyo Feitosa

2025-06-10

Recomendação de posts Nefroupdates