
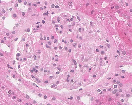
Amiloidose renal: aspectos sobre patogenia, diagnóstico e proteomica
Este vídeo apresenta, de forma didática e baseada em evidências, os principais achados da tese de doutorado sobre amiloidose renal, com foco em proteômica glomerular e ativação do complemento. São discutidos aspectos diagnósticos, implicações fisiopatológicas e correlações clínico-patológicas relevantes para a prática do nefrologista. O conteúdo sintetiza dados inéditos de matriz extracelular glomerular e diferencia perfis entre subtipos de amiloidose. Trata-se de um material aprofundado e acessível, ideal para atualização de especialistas na área.
Valkercyo Feitosa
4 meses atrás


Highlights ASN 2025: Novas Fronteiras em IgA, descontinuação de Hemodiálise e o uso do Ômega-3 nos dialíticos

























































.webp)

.webp)









.webp)

.webp)






































